


当肺癌患者无法立即手术
又面临复发风险高的困境时
有没有一条希望之路?
近日,来自浙江与潍坊的两位肺癌患者
在北京大学人民医院和北大人民医院青岛医院
胸外科团队的努力下
通过北京方案、青岛治疗的模式
完成了从难以手术到
肿瘤细胞消失的逆袭!
北京大学人民医院胸外科院士团队
常态化
在北京大学人民医院青岛医院坐诊
岛城市民在家门口
即可享受顶尖诊疗服务!
“病理结果出来了,太好了,又是一例pCR,完全缓解!”听到管床医生的话,来自浙江的肺癌患者赵大叔(化名)长舒一口气。几个月前,病友钱大叔(化名)也收到了同样的好消息——病理完全缓解,那一刻,他心头悬着的大石,终于落了地。

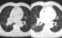
△赵大叔治疗前后CT对比
pCR,即病理学完全缓解,在肿瘤治疗中是一个金标准式的胜利。它意味着患者在接受术前新辅助治疗后,手术切除的病灶组织中已检测不到癌细胞。对患者而言,代表着他们很可能告别肿瘤,重回正常生活。
0 1
确诊
两位肺癌患者生命亮起红灯
两个多月以前,浙江赵大叔因为咳嗽就诊于当地医院,查出右肺有一个6公分多的肿物。他们第一时间赶到青岛,在北京大学人民医院青岛医院北大知名专家门诊,慕名找到北京大学人民医院胸外科院士团队成员李剑锋主任。李主任看完检查结果后,果断建议住院完善气管镜,明确病理诊断和分期,最终诊断为右肺下叶恶性肿瘤(鳞癌 cT3N2bM0 ⅢB期)。

△李剑锋教授常态化在青岛开展工作
“虽然已经有心理准备,但是得知这个结论,脑子还是嗡的一下。”家属说,他们千里迢迢赶到青岛,就是为了争取更好的手术机会。
几个月前。潍坊的钱大叔也在体检中发现了肺部占位,他们第一时间前往北京找到北京大学人民医院肺癌中心副主任、日间诊疗区主任燕翔教授。燕教授在制定治疗方案后,考虑钱大叔家在山东,距离青岛更近,建议他转到北京大学人民医院青岛医院接受治疗和手术,这样对家庭来说更为便利。
0 2
转机
北京方案,青岛治疗
收治患者后,胸外科团队第一时间整理患者资料,请燕翔教授会诊。

△图片由AI生成
“这两位患者的情况,直接手术难度大,且容易复发。”燕翔教授解释。详细查阅资料后,她提出关键决策,实施化疗联合免疫治疗的新辅助治疗方案,为手术创造最佳条件。
这相当于一种围剿战术,在手术前,先对肿瘤进行精准打击,使其缩小、降期,甚至彻底清除微转移灶。
燕翔教授拥有十余年肿瘤临床与科研经验,尤其擅长肺癌、食管癌等胸部肿瘤的靶向、免疫及化疗等综合治疗。在她的指导和北大人民医院青岛医院胸外科团队的照顾下:
赵大叔
顺利完成每一周期的治疗和随访。第一次复查结果评价为PR(部分缓解),这给了大家充足的治疗信心,完成了三周期的新辅助治疗,经过李剑锋教授评估,可以实施手术了。
钱大叔
而钱大叔的治疗并非一帆风顺。两个周期后,效果并不理想。关键时刻,胸外科团队迅速整理好所有新数据,再次发起线上会诊。燕翔教授考虑患者的病理显示肺腺癌部分伴神经内分泌分化,结合既往的治疗经验,将常规的治疗方案更换为紫杉醇类药物。调整方案后,奇迹发生了。两个周期下来,肿瘤明显退缩。希望的曙光,再次照亮。
0 3
手术
病理完全缓解,肿瘤细胞消失
经过充分准备,两位患者先后由李剑锋主任主刀,成功接受了肺癌根治术。
最终的病理报告带来了最振奋人心的消息,两人的手术标本均达到了pCR,肿瘤细胞已经消失。

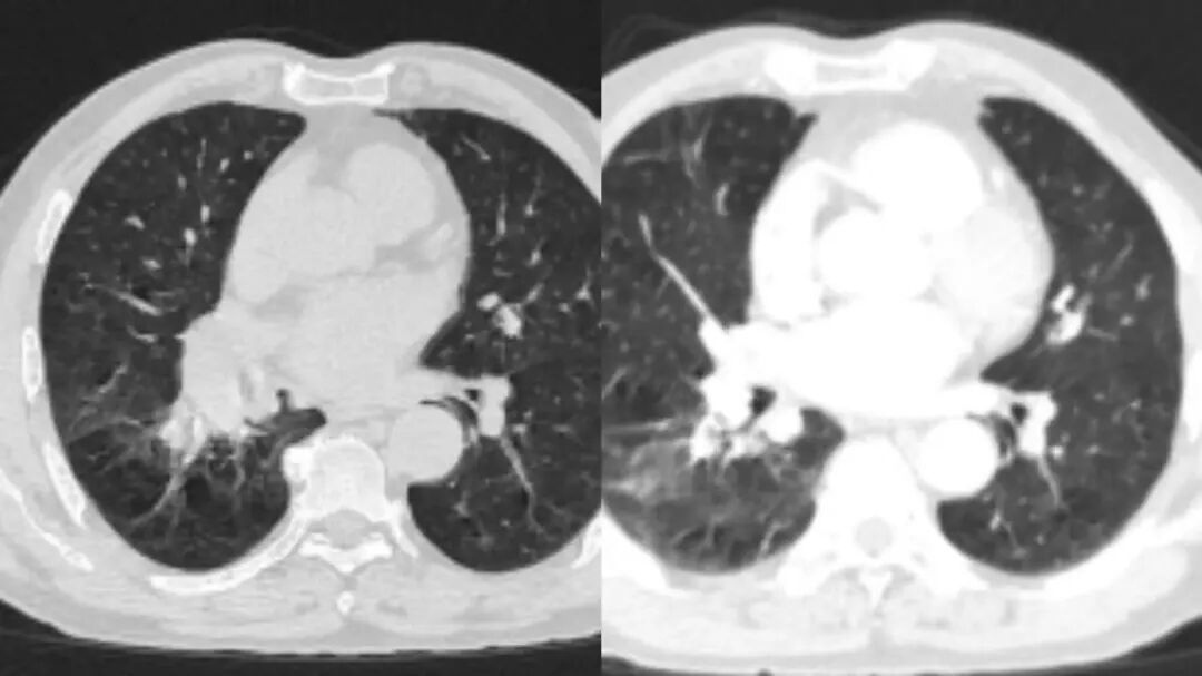
△钱大叔治疗前后CT对比
实现pCR,可以说是患者治疗的一个重要节点。李剑锋主任表示,这意味着患者不仅获得了根治性手术的机会,术后也大概率无需再进行放化疗,极大地减轻了身心负担,真正实现了高质量的长久生存。
科室简介
北京大学人民医院青岛医院胸部疾病中心依托北京大学人民医院胸外科王俊院士团队的先进医疗技术和服务能力,形成了以胸腔镜微创手术、胸部肿瘤综合治疗为主要特色的临床科室。学科带头人为北京大学人民医院胸外科主任医师李剑锋教授,北京大学人民医院胸外科刘彦国教授、周足力教授、燕翔教授、李晓教授、杨锋教授、周健教授、管添教授等专家开展门诊、查房、手术、带教等工作,对于不能耐受手术或不适合手术的肺结节患者,由胡立宝教授领衔开展介入消融治疗。
科室与北京大学人民医院胸外科实施同质化管理。建立线上多学科会诊制度,每周开展线上大查房,借助北京大学人民医院肺癌中心肿瘤内科、放疗科、介入科及病理科等专业的专家资源,开展远程预约、远程会诊、双向转诊等远程医疗服务,打造胸部微创外科专业化诊疗团队、肺癌“一站式”诊疗团队、胸部肿瘤多学科全病程管理团队和胸外科加速康复外科治疗团队,为患者提供“院士团队”同质量的一站式、一体化优质诊疗服务。
专家简介


李剑锋 12月5日(周五)下午坐诊
挂号科室:北大知名专家门诊-胸外科专家门诊
主任医师,北京大学人民医院青岛医院胸部疾病中心主任。
擅长: 肺癌、食管癌、纵隔肿瘤的微创及开胸复杂手术,胃食管反流病的腹腔镜胃底折叠手术。

周足力 12月6日(周六)下午坐诊
挂号科室:北大知名专家门诊-胸外科专家门诊
主任医师,医学博士,北京大学人民医院胸外科行政副主任。
擅长:胸外科专业。肺结节和肺癌鉴别诊断,尤其擅长胸腔镜下肺癌的微创手术治疗。在食管癌、纵隔肿瘤和肺转移瘤等一些有难度的胸外科疾病均采用微创胸腔镜手术进行治疗。


燕翔 12月6日(周六)下午坐诊
博士,副主任医师,副教授,硕士研究生导师,北京大学人民医院肺癌中心主任、日间诊疗区主任。
擅长:肺癌 及食管癌、胸腺癌 的靶向治疗、免疫治疗、化疗等内科综合治疗 。

·
杨锋 12月5日(周五)下午坐诊
挂号科室:北大知名专家门诊-胸外科专家门诊
副主任医师,医学博士,北京大学人民医院保健处处长。
擅长:肺部微小结节的早诊早治,胸部疾病的微创外科治疗及多学科综合治疗,肺结节定位及荧光胸腔镜等。


胡立宝 具体坐诊时间以门诊排班为准
挂号科室:北大知名专家门诊-胸外科专家门诊
副主任医师,医学博士,北京大学人民医院肺癌中心副主任。
擅长:胸部肿瘤经皮穿刺活检及消融治疗、肺小结节术前穿刺定位、肺癌及实体肿瘤经动脉化疗栓塞、咯血及肺动静脉畸形介入栓塞治疗等。


周健 12月1日(周一)上午坐诊
挂号科室:北大知名专家门诊-胸外科专家门诊
山东青岛人,副 主任医师,医学博士,北京大学人民医院胸外科学科助理。
擅长 :肺癌、肺结节、肺磨玻璃(毛玻璃)影的诊断及微创治疗,胸腺瘤及合并重症肌无力的多学科诊治。从事肺癌、食管癌、纵隔肿瘤的微创治疗及肿瘤综合治疗。


王海文 周一全天、周二全天、周三全天、周五全天、周六上午坐诊 (具体坐诊时间以门诊排班为准)
挂号科室:胸外科、肺结节门诊或肺结节消融门诊
北京大学人民医院青岛医院胸外科执行主任,主任医师
擅长:肺结节(肺癌)、纵隔肿瘤,食管肿瘤,胸廓畸形的诊断和治疗,特别是在肺结节的诊断和治疗方面有丰富的经验。